- 呼吸道感染如何预防和治疗?
- 2024-01-04
- 尿液出现这些变化 暗示肾脏出问题
- 2024-01-04

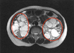
- 多囊肾患者该注意的9点
- 2024-01-02

- 脚麻?发痒?可能是“糖尿病”的症状!
- 2024-01-02
- 哪些因素会造成起夜频繁、夜尿多?
- 2023-12-27
- 系统性红斑狼疮为什么被称为不死的癌症?
- 2023-12-27

- 天冷以后涨肌酐还不是最坏的结果 最怕这个指标偷偷高
- 2023-12-25
- 不喝水会导致血肌酐高吗
- 2023-12-25

- 掌握血液透析前 中 后注意事项 从容应对透析治疗
- 2023-12-22
- 下肢出现这几种情况 暗示尿毒症要来了
- 2023-12-22
- 尿毒症发病率越来越高 几种食物最好少碰
- 2023-12-22
- 红斑性狼疮属于肾病吗?
- 2023-12-21
- 尿液黄、有泡泡、气味重?是肾病吗?
- 2023-12-21
- 吃什么去除肾炎水肿快
- 2023-12-18

- 眼结膜断断续续出血要小心 与肾病相关!
- 2023-12-18
- 尿蛋白尿潜血尿酸高怎么回事啊
- 2023-12-14